Sertoli cell nodule
Other namesPick's adenoma, testicular tubular adenoma, tubular adenoma of the testis
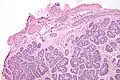
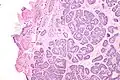
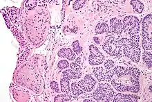
Micrograph of a Sertoli cell nodule. H&E stain.
SpecialtyUrology

A Sertoli cell nodule is a benign proliferation of Sertoli cells that arises in association with cryptorchidism (undescended testis).[1] They are not composed of a clonal cell population, i.e. neoplastic; thus, technically, they should not be called an adenoma.[2]

Pathology

Sertoli cell nodules are unencapsulated nodules that consist of:[2][3][4]

  1. cells arranged in well-formed tubules (that vaguely resemble immature Sertoli cells), with
  2. bland hyperchromatic oval/round nuclei that are stratified, and
  3. may contain eosinophilic (hyaline) blob in lumen (centre).

References

  1. "Sertoli cell nodule". www.pathologyoutlines.com. Retrieved 2023-11-04.
  2. 1 2 Tadrous, Paul J. (2007). Diagnostic criteria handbook in histopathology: a surgical pathology vade mecum. John Wiley & Sons Canada. p. 227 =. ISBN 978-0-470-51903-5.
  3. "Ashwagandha". 2018-09-24. Retrieved 19 November 2018.
  4. Ricco R, Bufo P (October 1980). "[Histologic study of 3 cases of so-called tubular adenoma of the testis]". Boll. Soc. Ital. Biol. Sper. (in Italian). 56 (20): 2110–5. PMID 6109541.

Further reading

This article is issued from Wikipedia. The text is licensed under Creative Commons - Attribution - Sharealike. Additional terms may apply for the media files.