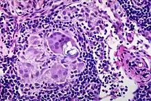
Crystalline inclusion with developing Schaumann body, polarized, in sarcoidosis

In pathology, Schaumann bodies are calcium and protein inclusions inside of Langhans giant cells as part of a granuloma.

Many conditions can cause Schaumann bodies, including:

Etymology

These inclusions were named after Swedish dermatologist Jörgen Nilsen Schaumann.[2]

See also

References

  1. Williams WJ (1964). "HISTOLOGY OF CROHN'S SYNDROME". Gut. 5: 510–6. doi:10.1136/gut.5.6.510. PMC 1552174. PMID 14244024.
  2. doctor/564 at Who Named It?


This article is issued from Wikipedia. The text is licensed under Creative Commons - Attribution - Sharealike. Additional terms may apply for the media files.