| Rachitic rosary | |
|---|---|
![]() | |
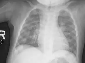
| Rachitic rosary on chest radiograph |
The prominent knobs of bone at the costochondral joints of rickets patients are known as a rachitic rosary or beading of the ribs. The knobs create the appearance of large beads under the skin of the rib cage, hence the name by analogy with the beads of a Catholic Christian rosary.[1]
Causes
Causes include:[2]
- Rickets : Nodularity at costochondral junction (rachitic rosary).
- Scurvy : More angular costochondral junction with a sharper step-off (scorbutic rosary) and depressed sternum.
- Chondrodystrophy
Pathophysiology
Rachitic rosary is due to a deficiency of calcium resulting in lack of mineralization and an overgrowth of costochondral joint cartilage. The calcium deficiency may be caused by rickets or other causes of calcium deficiency such as hypoparathyroidism.[3]
Diagnosis
Palpation ( Beads formation) , on chest X-ray
Management
Will be present throughout the life (rickets should be treated first)
References
- ↑ John Little Morris; W.F. Waugh; W.C. Abbott (1900). "Rickets". The Alkaloidal Clinic. Clinic Publishing Company. 7 (1).
The earliest bone lesion that we find in incipient rickets is the beading of the ribs, the so-called rachitic rosary. This is due to an enlargement of the osteo chondric articulations, and hence its name because of fancied resemblance to the rosary used by the Catholic worshiper.
- "Rachitic rosary". TheFreeDictionary. Retrieved 12 August 2013. - ↑ von Schulthess, Gustav K.; Ch.L. Zollikofer, eds. (2005). Musculoskeletal diseases : diagnostic imaging and interventional techniques. 37th International Diagnostic Course in Davos (IDKD) Davos, April 2-8, 2005 : including the Pediatric Satellite course "Kangaroo" Davos, April 2-3, 2005. Milan: Springer. ISBN 8847003180.
- Ebel, Klaus-Dietrich; et al., eds. (1999). Differential diagnosis in pediatric radiology. Stuttgart: Thieme. ISBN 9783131081315.
- Ebel, Klaus-Dietrich; et al., eds. (1999). Differential diagnosis in pediatric radiology. Stuttgart: Thieme. ISBN 3131081317. - ↑ Munns, Craig F.; et al. (2016). "Global Consensus Recommendations on Prevention and Management of Nutritional Rickets". The Journal of Clinical Endocrinology and Metabolism. Oxford University Press. 101 (2): 394–415. doi:10.1210/jc.2015-2175. PMC 4880117. PMID 26745253.
This article is issued from Wikipedia. The text is licensed under Creative Commons - Attribution - Sharealike. Additional terms may apply for the media files.
