
Gross pathology of an ovarian carcinoma.
Ovarian tumors, or ovarian neoplasms, are tumors arising from the ovary. They can be benign or malignant (ovarian cancer). They consist of mainly solid tissue, while ovarian cysts contain fluid.
Histopathologic classification

Ovarian tumors are classified according to the histology of the tumor, obtained in a pathology report. Histology dictates many aspects of clinical treatment, management, and prognosis.
The most common forms are:
| Type | Subtype | Relative incidence[2] | Percent malignant[2] | Comments | Micrograph |
|---|---|---|---|---|---|
| Germ cell tumor | Mature cystic teratoma | 46.0% | 0.17% to 2%[3] | Cystic, with elements of all 3 germ layers (endoderm, mesoderm and ectoderm).[4] | ![]() Hair follicles. |
| Immature teratoma | 2.5% | 100% | A teratoma that contains anaplastic immature elements, and is often synonymous with malignant teratoma.[5] | ![]() | |
| Other germ cell tumors | 3.0% | Others mainly include dysgerminoma, yolk sac tumor, struma ovarii and squamous cell carcinoma arising from a dermoid cyst, and malignant mixed germ cell tumor.[2] | |||
| Surface epithelial-stromal tumor | Serous tumor | 25% | 18.5% | Benign serous tumors of the right ovarian cyst are thinwalled unilocular cysts that are lined by ciliated pseudostratified cuboidal or columnar epithelium.[6] | ![]() |
| Mucinous tumor | 15% | 8.8% | Benign mucinous tumors of the ovary consist of simple, nonstratified columnar epithelium with basally-located hyperchromatic nuclei and resemble gastric foveolar epithelium.[6] | ![]() | |
| Endometrioid tumor | 1% | Almost 100% | Tubular glands, resembling endometrium.[7] | ![]() | |
| Other surface-epithelial tumors | 1.5% | Others include mainly malignant mixed Müllerian tumor, Brenner tumor and mixed epithelial tumor.[2] | |||
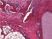
| Sex cord-stromal tumor | Ovarian fibroma | 1.5% | 0% | Spindle-shaped fibroblastic cells and abundant collagen.[8] | ![]() |
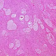
| Adult granulosa cell tumor | 1% | Almost 100% | Small, bland, cuboidal to polygonal cells in various patterns.[9] | ![]() | |
| Other sex cord-stromal tumors | 1% | Others include mainly juvenile granulosa cell tumor, thecoma and sclerosing stromal tumor[2] | |||
| Secondary/metastatic) tumor | 2% | 100% | Usually from breast cancer, colon cancer, endometrial cancer, stomach cancer or cervical cancer.[10] | ||
Mixed tumors contain elements of more than one of the above classes of tumor histology.
History
An 1882 article appearing in Scientific American mentions the case of a patient at University of Pennsylvania Hospital when Dr. William Goodell removed a 112 lbs tumor from a 31 year old patient, who weighted 75 lbs after removal from the tumor.[11]
See also
References
- ↑ - Vaidya, SA; Kc, S; Sharma, P; Vaidya, S (2014). "Spectrum of ovarian tumors in a referral hospital in Nepal". Journal of Pathology of Nepal. 4 (7): 539–543. doi:10.3126/jpn.v4i7.10295. ISSN 2091-0908.
- Minor adjustment for mature cystic teratomas (0.17 to 2% risk of ovarian cancer): Mandal, Shramana; Badhe, Bhawana A. (2012). "Malignant Transformation in a Mature Teratoma with Metastatic Deposits in the Omentum: A Case Report". Case Reports in Pathology. 2012: 1–3. doi:10.1155/2012/568062. ISSN 2090-6781. PMC 3469088. PMID 23082264. - 1 2 3 4 5 Unless otherwise specified in boxes, reference is: Vaidya, SA; Kc, S; Sharma, P; Vaidya, S (2014). "Spectrum of ovarian tumors in a referral hospital in Nepal". Journal of Pathology of Nepal. 4 (7): 539–543. doi:10.3126/jpn.v4i7.10295. ISSN 2091-0908.
- ↑ Mandal, Shramana; Badhe, Bhawana A. (2012). "Malignant Transformation in a Mature Teratoma with Metastatic Deposits in the Omentum: A Case Report". Case Reports in Pathology. 2012: 1–3. doi:10.1155/2012/568062. ISSN 2090-6781. PMC 3469088. PMID 23082264.
- ↑ Hillary Rose Elwood. "Skin nonmelanocytic tumor - Other tumors of skin - Benign (mature) cystic teratoma". pathology Outlines. Topic Completed: 1 November 2016. Revised: 4 April 2019
- ↑ Sun, Hang; Ding, Hongxin; Wang, Jianjun; Zhang, Emma; Fang, Yihua; Li, Zhenhua; Yu, Xiao; Wang, Chongren; Zhao, Yifan; Chen, Kan; Wen, Siwan; Li, Liang; Shan, Shan; Hong, Liu; Chen, Face; Su, Pu (2019). "The differences between gonadal and extra-gonadal malignant teratomas in both genders and the effects of chemotherapy". BMC Cancer. 19 (1): 408. doi:10.1186/s12885-019-5598-0. ISSN 1471-2407. PMC 6492338. PMID 31039746.
- 1 2 Baradwan, Saeed; Alalyani, Haneen; Baradwan, Amira; Baradwan, Afnan; Al-Ghamdi, Maram; Alnemari, Jameel; Al-Jaroudi, Dania (2018). "Bilateral ovarian masses with different histopathology in each ovary". Clinical Case Reports. 6 (5): 784–787. doi:10.1002/ccr3.1466. ISSN 2050-0904. PMC 5930217. PMID 29744056.
- ↑ Shahrzad Ehdaivand. "Ovary tumor - Endometrioid tumors - General". Pathology Outlines. Topic Completed: 1 December 2012. Revised: 6 March 2020
- ↑ Parwate, Nikhil Sadanand; Patel, Shilpa M.; Arora, Ruchi; Gupta, Monisha (2015). "Ovarian Fibroma: A Clinico-pathological Study of 23 Cases with Review of Literature". The Journal of Obstetrics and Gynecology of India. 66 (6): 460–465. doi:10.1007/s13224-015-0717-6. ISSN 0971-9202. PMC 5080219. PMID 27821988.
- ↑ Shahrzad Ehdaivand. "Ovary tumor - Sex cord stromal tumors - Granulosa cell tumor - adult". Pathology Outlines. Topic Completed: 1 December 2012. Revised: 9 March 2020
- ↑ Lisa Lee-Jones, University of Wales College of Medicine (2003-12-01). "Ovarian tumours : an overview". Atlas of Genetics and Cytogenetics in Oncology and Haematology.
- ↑ Scientific American. Munn & Company. 1882-02-25. p. 114.
This article is issued from Wikipedia. The text is licensed under Creative Commons - Attribution - Sharealike. Additional terms may apply for the media files.
.jpg.webp)




.jpg.webp)

.jpg.webp)