Goblet cell carcinoid
Other namesCrypt cell carcinoma, neuroendocrine tumour with goblet cell differentiation
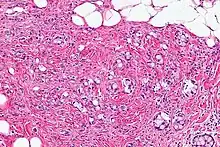
Micrograph showing a goblet cell carcinoid. H&E stain.

The goblet cell carcinoid (GCC) is a rare biphasic gastrointestinal tract tumour that consists of a neuroendocrine component and a conventional carcinoma, histologically arising from Paneth cells.[1]

Sign and symptoms

GCCs may present as appendicitis.

Diagnosis

Micrograph of a goblet cell carcinoid. H&E stain.

GCCs are diagnosed by pathology. They have a characteristic biphasic appearance which includes (1) goblet cell-like cells, and (2) neuroendocrine-type nuclear chromatin (stippled chromatin).

Prognosis

GCCs have an aggressive course compared to other appendiceal neuroendocrine tumours.[1]

Treatment

GCCs are treated with surgery.

See also

References

  1. 1 2 van Eeden S, Offerhaus GJ, Hart AA, et al. (December 2007). "Goblet cell carcinoid of the appendix: a specific type of carcinoma". Histopathology. 51 (6): 763–73. doi:10.1111/j.1365-2559.2007.02883.x. PMID 18042066.
This article is issued from Wikipedia. The text is licensed under Creative Commons - Attribution - Sharealike. Additional terms may apply for the media files.