Vaginal tumors are neoplasms (tumors) found in the vagina. They can be benign or malignant.[1][lower-alpha 1] A neoplasm is an abnormal growth of tissue that usually forms a tissue mass.[2][3][4] Vaginal neoplasms may be solid, cystic or of mixed type.[5]

Vaginal cancers arise from vaginal tissue, with vaginal sarcomas develop from bone, cartilage, fat, muscle, blood vessels or other connective or supportive tissue.[6][7] Tumors in the vagina may also be metastases (malignant tissue that has spread to the vagina from other parts of the body). [8][7] Cancer that has spread from the colon, bladder, and stomach is far more common than cancer that originates in the vagina itself.[9] Some benign tumors may later progress to become malignant tumors, such as vaginal cancers.[10][11] Some neoplastic growths of the vagina are sufficiently rare as to be only described in case studies.[3]

Signs and symptoms may include a feeling of pressure, painful intercourse or bleeding.[12] Most vaginal tumors are located during a pelvic exam. Ultrasonography, CT and MRI imaging is used to establish the location and presence or absence of fluid in a tumor.[13][14] Biopsy provides a more definitive diagnosis.[15]

Vaginal tumors

Micrograph showing the yolk sac component of a mixed germ cell tumour. H&E stain.
Micrograph of an H&E stained section of a peripheral PNET.
Blue nevus
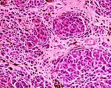
Micrograph of a small-cell carcinoma showing cells with nuclear moulding, minimal amount of cytoplasm and stippled chromatin.
Micrograph of a mucinous adenocarcinoma
Micrograph of fibroepithelial polyp
Vaginal tumors Benign Synonyms and notes References
Yolk sac tumor no Endodermal sinus tumor [16][17][18][19][20][21][22]
Peripheral primitive neuroectodermal tumor no Ewing's sarcoma [16][17][18][23]
Vaginal melanoma no Melanocytic tumor [16][17][18][24][25]
Blue nevus yes[26] Melanocytic tumor, blue mole, nevus bleu,

melancytic nevus

[16][17][18][25]
Carcinosarcoma no Malignant Mullerian Mixed tumors;

metaplastic carcinoma

[18]
Sarcoma botryoides no botryoid sarcoma, botryoid rhabdomyosarcoma;

subtype of embryonal rhabdomyosarcoma

[9][16][17][18][22][27][28]
Leimyosarcoma no localized tumor of leukemic cells [18][29]
Endometrioid stromal sarcoma no endometrial stromal sarcoma [18][30]
Undifferentiated vaginal sarcoma [18]
Leiomyoma yes fibromyoma [6][13][16][17][18]
Genital rhabdomyoma [16][17][18][31][32][33]
Deep angiomyoxoma [16][17][18]
Spindle cell nodule Vaginal Solitary Fibrous Tumor [9][16][17][18][34]
Undifferentiated carcinoma [16][17][18]
Small cell carcinoma no [16][17][18]
Carcinoid no [18]
Adenoid basal carcinoma [18]
Adenosquamous carcinoma no [18]
Adenoma yes [35]
Mucinous adenocarcinoma [18]
Squamous papilloma yes vaginal micropapillomatosis [16][17][18]
Endometrioid adenocarcinoma no [18]
Mesonephric adenocarcinoma [18]
Clear cell adenocarcinoma no [16][17][18]
Fibroepithelial polyp yes [16][17][18]
Squamous intraepithelial neoplasia [16][17][18]
Genital wart yes Condylomata acuminata [6][16][17][18]
Squamous cell carcinoma no Keratinizing, Nonkeratininzing, Basalaoid,

Verrucous, Warty

[16][17][18]
Mesenchymal tumors [18]
Alveolar soft part sarcoma [18]
Mixed epithelial and mesenchymal Tumors [18]
Malignant mixed Tumors resembling synovial sarcoma [18]
Benign mixed tumors [18]
Adenomatoid Tumor yes [18]
Malignant lymphoma no [18]
Granulocytic sarcoma [18]
Fibroepithelial polyp yes [6][17]
Verrucous carcinoma no [9]
Squamotransitional cell carcinoma [9]

Other animals

Vaginal tumors also can be found in domesticated animals:

  • Sarcoma botryoides
  • Squamous cell carcinoma
  • Condyloma acuminatum
  • Squamous intraepithelial neoplasia
  • Fibroepithelial polyp
  • Clear-cell adenocarcinoma
  • Squamous papilloma
  • Leiomyoma
  • Blue nevus
  • Malignant melanoma
  • Primitive neuroectodermal tumor
  • Yolk sac tumor[36]

See also

Notes

  1. There are four main groups of vaginal neoplasms: benign neoplasms, in situ neoplasms, malignant neoplasms, and neoplasms of uncertain or unknown behavior. Malignant neoplasms are also simply known as cancers. Tumor (American English) or tumour (British English), Latin for swelling, one of the cardinal signs of inflammation, originally meant any form of swelling, neoplastic or not. Current English, however, both medical and non-medical, uses tumor as a synonym for a neoplasm (a solid or fluid-filled cystic lesion that may or may not be formed by an abnormal growth of neoplastic cells) that appears enlarged in size.Some neoplasms do not form a tumor; these include leukemia and most forms of carcinoma in situ. Tumor is also not synonymous with cancer. While cancer is by definition malignant, a tumor can be benign, precancerous, or malignant

References

  1. "NCI Dictionary of Cancer Terms - Benign". National Cancer Institute. 2011-02-02. Retrieved 2018-03-13.
  2. "NCI Dictionary of Cancer Terms - Tumor". National Cancer Institute. 2011-02-02. Retrieved 2018-03-13.
  3. 1 2 Stedman's medical dictionary (28th ed.). Philadelphia: Lippincott Williams & Wilkins. 2006. p. Neoplasm. ISBN 978-0781733908.
  4. "NCI Dictionary of Cancer Terms - Neoplasm". National Cancer Institute. 2011-02-02. Retrieved 2018-03-13.
  5. "What Are Tumors?". pathology.jhu.edu. Retrieved 2018-03-13.
  6. 1 2 3 4 "Benign Neoplasms of the Vagina | GLOWM". www.glowm.com. Retrieved 2018-03-01.
  7. 1 2 "NCI Dictionary of Cancer Terms - Sarcoma". National Cancer Institute. 2011-02-02. Retrieved 2018-03-13.
  8. "NCI Dictionary of Cancer Terms - Metastasis". National Cancer Institute. 2011-02-02. Retrieved 2018-03-13.
  9. 1 2 3 4 5 Dey, Pranab (2017-02-06). Essentials of Gynecologic Pathology. JP Medical Ltd. pp. 41–48. ISBN 9789386261205.
  10. Taylor, Elizabeth J. (2000). Dorland's Illustrated medical dictionary (29th ed.). Philadelphia: Saunders. p. 1184. ISBN 978-0721662541.
  11. Cooper GM (1992). Elements of human cancer. Boston: Jones and Bartlett Publishers. p. 16. ISBN 978-0-86720-191-8.
  12. "Vaginal Bleeding - Gynecology and Obstetrics - Merck Manuals Professional Edition". Merck Manuals Professional Edition. Retrieved 2018-03-02.
  13. 1 2 Shobeiri, S. Abbas; Rostaminia, Ghazaleh; White, Dena; Quiroz, Lieschen H.; Nihira, Mikio A. (2013-08-01). "Evaluation of Vaginal Cysts and Masses by 3-Dimensional Endovaginal and Endoanal Sonography". Journal of Ultrasound in Medicine. 32 (8): 1499–1507. doi:10.7863/ultra.32.8.1499. ISSN 1550-9613. PMID 23887963. S2CID 34402240.
  14. Hamm, Bernd; Forstner, Rosemarie (2007-01-19). MRI and CT of the Female Pelvis. Springer Science & Business Media. ISBN 9783540682127.
  15. Nelson, Philippa (2018-01-23). "Endometriosis presenting as a vaginal mass". BMJ Case Reports. 2018: bcr–2017–222431. doi:10.1136/bcr-2017-222431. ISSN 1757-790X. PMC 5786902. PMID 29367370.
  16. 1 2 3 4 5 6 7 8 9 10 11 12 13 14 15 16 17 Humphrey, Peter A.; Dehner, Louis P.; Pfeifer, John D. (22 February 2018). The Washington Manual of Surgical Pathology. Lippincott Williams & Wilkins. ISBN 9780781765275. Retrieved 22 February 2018 via Google Books.
  17. 1 2 3 4 5 6 7 8 9 10 11 12 13 14 15 16 17 18 "Tumours of the Vagina; Chapter Six" (PDF). International Agency for Research on Cancer, World Health Organization. pp. 291–311. Archived from the original (PDF) on 2015-09-08.
  18. 1 2 3 4 5 6 7 8 9 10 11 12 13 14 15 16 17 18 19 20 21 22 23 24 25 26 27 28 29 30 31 32 33 34 35 "Vulva and Vagina tumors: an overview". atlasgeneticsoncology.org. Retrieved 2018-02-22.
  19. "NCI Dictionary of Cancer Terms - Mature Teratoma". National Cancer Institute. 2011-02-02.
  20. Tang QL, Jiang XF, Yuan XP, Liu Y, Zhang L, Tang XF, Zhou JJ, Li HG, Fang JP, Xue L (2014). "Prognosis of eight Chinese cases of primary vaginal yolk sac tumor with a review of the literature". Asian Pacific Journal of Cancer Prevention. 15 (21): 9395–404. doi:10.7314/APJCP.2014.15.21.9395. PMID 25422231.
  21. Bhatt MD, Braga LH, Stein N, Terry J, Portwine C (July 2015). "Vaginal Yolk Sac Tumor in an Infant: A Case Report and Literature Review of the Last 30 Years". Journal of Pediatric Hematology/Oncology. 37 (5): e336–40. doi:10.1097/MPH.0000000000000325. PMID 25851552. S2CID 7605939.
  22. 1 2 Coran, Arnold G.; Caldamone, Anthony; Adzick, N. Scott; Krummel, Thomas M.; Laberge, Jean-Martin; Shamberger, Robert (2012-01-25). Pediatric Surgery E-Book. Elsevier Health Sciences. ISBN 978-0323091619.
  23. Baldini EH, Demetri GD, Fletcher CD, Foran J, Marcus KC, Singer S (July 1999). "Adults with Ewing's sarcoma/primitive neuroectodermal tumor: adverse effect of older age and primary extraosseous disease on outcome". Annals of Surgery. 230 (1): 79–86. doi:10.1097/00000658-199907000-00012. PMC 1420848. PMID 10400040.
  24. Kalampokas E, Kalampokas T, Damaskos C (January 2017). "Primary Vaginal Melanoma, A Rare and Aggressive Entity. A Case Report and Review of the Literature". In Vivo. 31 (1): 133–139. doi:10.21873/invivo.11036. PMC 5354139. PMID 28064232.
  25. 1 2 "Blue naevus | DermNet New Zealand". www.dermnetnz.org.
  26. but mimics other malignant tumors
  27. PDQ Pediatric Treatment Editorial Board (2018). "Childhood Rhabdomyosarcoma Treatment (PDQ®): Health Professional Version". PDQ Cancer Information Summaries - Childhood Rhabdomyosarcoma Treatment. Bethesda (MD): National Cancer Institute (US). PMID 26389243.
  28. "Ewing Sarcoma Treatment". National Cancer Institute. 1980-01-01. Retrieved 2018-02-28.
  29. Keller NA, Godoy H (2015). "Leiomyosarcoma of the Vagina: An Exceedingly Rare Diagnosis". Case Reports in Obstetrics and Gynecology. 2015: 363895. doi:10.1155/2015/363895. PMC 4689886. PMID 26783476.
  30. "What Is Uterine Sarcoma?". www.cancer.org. Retrieved 2018-02-28.
  31. Schoolmeester JK, Xing D, Keeney GL, Sukov WR (July 2017). "Genital Rhabdomyoma of the Lower Female Genital Tract: A Study of 12 Cases With Molecular Cytogenetic Findings". International Journal of Gynecological Pathology. 37 (4): 349–355. doi:10.1097/PGP.0000000000000428. PMID 28700439. S2CID 43341442.
  32. Folpe, Andrew L.; Inwards, Carrie Y. (2010-01-01). Bone and Soft Tissue Pathology. Elsevier Health Sciences. ISBN 978-0443066887.
  33. Andrassy RJ, Wiener ES, Raney RB, Hays DM, Arndt CA, Lobe TE, Lawrence W, Anderson JR, Qualman SJ, Crist WM (May 1999). "Progress in the surgical management of vaginal rhabdomyosarcoma: a 25-year review from the Intergroup Rhabdomyosarcoma Study Group". Journal of Pediatric Surgery. 34 (5): 731–4, discussion 734–5. doi:10.1016/S0022-3468(99)90365-2. PMID 10359173.
  34. Rekhi B, Bapat P, Shetty O (2019). "A Rare Case of a Vaginal Solitary Fibrous Tumor, Presenting as a Cystic Mass, Showing NAB2ex4-STAT6ex2 Fusion and STAT6 Immunostaining". International Journal of Gynecological Pathology. 38 (1): 21–26. doi:10.1097/PGP.0000000000000479. PMID 29257041. S2CID 19130435.
  35. Mierau GW, Lovell MA, Wyatt-Ashmead J, Goin L (May 2005). "Benign müllerian papilloma of childhood". Ultrastructural Pathology. 29 (3–4): 209–16. doi:10.1080/01913120590951211. PMID 16036876. S2CID 22146300.
  36. Baba, Alecsandru Ioan; Câtoi, Cornel (22 February 2018). "FEMALE GENITAL TRACT TUMORS". The Publishing House of the Romanian Academy. Retrieved 22 February 2018 via www.ncbi.nlm.nih.gov.
This article is issued from Wikipedia. The text is licensed under Creative Commons - Attribution - Sharealike. Additional terms may apply for the media files.